Intégration TVFC dans le logiciel ClinCheck Pro
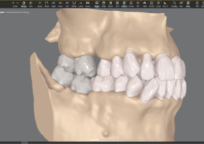
Génère automatiquement un modèle 3D avec les racines, la couronne et la structure osseuse pour une planification plus informée du traitement.




Visualisez les racines, les couronnes et la structure osseuse des patients dans un modèle 3D généré automatiquement grâce à la nouvelle intégration TVFC.
Optimise l’efficacité des puissants outils ClinCheck tels que les contrôles 3D.
Vous présente des rendus de racines et des visualisations d’os réels basés sur des données de prise d’empreintes réelles.
Simule le mouvement radiculaire en même temps que le mouvement dentaire.
Vous aide à tirer parti de votre expertise dans une variété de malocclusions.
Informe votre planification de traitement Invisalign®.




Une planification plus éclairée du traitement pour une large gamme de malocclusions.
Chirurgie
Restauration
Expansion/Extraction
Cas d’adolescent avec des dents incluses ou non sorties


Activez la fonctionnalité TVFC dans le logiciel ClinCheck Pro en 4 étapes faciles pour travailler dans une plateforme intégrée.


Étape 1
Lors de la soumission d’un cas, dans l’onglet « prises d’empreintes et empreintes », cochez « TVFC » dans la section images TVFC.


Étape 2
Téléchargez vos fichiers/dossiers TVFC.


Étape 3
Sélectionnez le type de patient (adulte ou adolescent) et le Comprehensive Package.


Étape 4
Commencez votre processus de planification de traitement dans le logiciel ClinCheck Pro en utilisant le bouton « Racines », désormais activé dans la barre d’outils.


Étape 1
Lors de la soumission d’un cas, dans l’onglet « prises d’empreintes et empreintes », cochez « TVFC » dans la section images TVFC.


Étape 2
Téléchargez vos fichiers/dossiers TVFC.


Étape 3
Sélectionnez le type de patient (adulte ou adolescent) et le Comprehensive Package.


Étape 4
Commencez votre processus de planification de traitement dans le logiciel ClinCheck Pro en utilisant le bouton « Racines », désormais activé dans la barre d’outils.
Trois nouvelles vues dans une plateforme intégrée pour améliorer la planification du traitement.


Racines uniquement


Racines avec os semi-transparent


Racines et os


Racines uniquement


Racines avec os semi-transparent


Racines et os
Questions fréquentes
Comment dois-je interpréter la visualisation de la forme des os/des fenestrations/des protrusions dans le logiciel ClinCheck?
Des instructions détaillées sont disponibles sur la page Formation de l’IDS, dans le document A001623 Rev A, informations sur le protocole TVFC.
Quelles sont les exigences pour une prise d’empreintes par tomodensitométrie volumique à faisceau conique (TVFC) valide ou acceptable pour la planification du traitement Invisalign®?
Veuillez trouver ci-dessous les exigences, les recommandations et une remarque importante :
Exigences
Les images TVFC doivent être soumises au format DICOM
Soit sous la forme d’un fichier .dcm unique et volumineux (d’un volume généralement bien supérieur à 100 Mo) contenant tous les calques des images TVFC.
Soit sous la forme d'une liste de petits fichiers .dcm (généralement de quelques Mo) – chaque fichier contient un seul calque des images TVFC. Le plus souvent, les radiographies TVFC orthodontiques contiennent plusieurs centaines de couches.
Align accepte les images TVFC « ortho » de taille égale à la taille A (rouge), B (vert) ou C (violet), comme illustré dans la figure 1. Remarque : les prises d’empreintes de taille A et B seront automatiquement tronquées à la taille C dans le plan de traitement ClinCheck final. Les prises d’empreintes de taille D (jaune) et E (bleu) ne sont pas prises en charge.
La capture TVFC doit couvrir l’intégralité de chacune des dents avec leurs racines, ainsi que les dents non sorties/partiellement sorties/incluses avec leurs racines (le cas échéant).
Recommandations
La résolution recommandée pour une radiographie TVFC est d’au moins 0,3 mm (toutes dimensions confondues). Align acceptera des images TVFC d’une résolution inférieure, mais sachez que la précision du modèle 3D des racines et de la structure osseuse sera réduite en conséquence.
Align recommande d’utiliser les paramètres recommandés par le fabricant de l’appareil TVFC pour radiographies TVFC orthodontiques destinées à la planification du traitement Invisalign
Remarque importante :
L’accord de niveau de service pour la mise en place d’un cas TVFC (délai d’exécution entre le moment de la soumission du cas et le moment où le plan de traitement est prêt pour examen par le praticien dans ClinCheck) est le même que pour les cas Invisalign® Comprehensive sans TVFC. Veuillez noter que cet accord de niveau de service ne s’applique qu’aux examens TVFC réalisés avec un scanner figurant sur la liste des scanners TVFC officiellement pris en charge (voir ci-dessous). Si vous téléversez une image TVFC réalisée avec un scanner TVFC qui ne figure pas dans la liste officielle, Align tentera de la traiter, mais nous ne pouvons garantir aucun délai d’exécution pour ce type de cas.
Quels paramètres d’exposition/niveaux de rayonnement dois-je appliquer au scanner TVFC?
Veuillez vous référer au manuel d’utilisation du scanner TVFC pour les réglages recommandés (champ de vision [FOV], tension du tube [kVp], courant du tube [mA], temps d’exposition, arc de rotation). Si le manuel d’utilisation ne contient pas les instructions nécessaires, veuillez contacter le fournisseur de votre scanner TVFC pour obtenir des recommandations.
Dois-je effectuer une radiographie TVFC avec une occlusion fermée ou une occlusion légèrement ouverte?
L’occlusion légèrement ouverte est préférable, bien que vous puissiez également procéder à des examens avec une occlusion fermée.
Que se passe-t-il si mon scanner TVFC ne parvient pas à exporter vers un format DICOM valide (accepté par Align)?
Veuillez consulter le manuel d’utilisation du scanner TVFC pour savoir comment exporter les images TVFC au format DICOM. Si le manuel d’utilisation ne contient pas les instructions nécessaires, veuillez contacter le fournisseur de votre scanner TVFC pour obtenir des recommandations.
Quel type de d’images TVFC (DICOM) est considéré comme non valide pour la planification du traitement Invisalign?
Sont considérées comme non valides les images TFVC (DICOM) soumises dans les scénarios suivants :
Images TVFC incomplètes – couches manquantes
Images TVFC d’un autre patient
Images TVFC avec une position des racines différente de celle des couronnes dans la prise d’empreinte numérique intra-orale soumise en même temps que les images TVFC du patient (par exemple, images TVFC prises à un autre stade du traitement orthodontique par rapport à la prise d’empreintes numérique intra-orale)
Images TVFC endommagées – un ou plusieurs fichiers DICOM sont manquants ou endommagés
Images TVFC tronquées – les images ne couvrent pas toutes les dents et racines complètement sorties, ainsi que les dents et racines non sorties/partiellement sorties/incluses (le cas échéant).
Images TVFC de mauvaise qualité avec un contraste trop faible, une surexposition et/ou une image floue (en raison des mouvements du patient pendant la radiographie). Voir l’exemple (figure 3)
Combien de temps faut-il pour téléverser les images TVFC?
Le téléversement d’une radiographie TVFC devrait prendre environ 5 minutes pour une connexion internet de 30 Mo/s et pas plus de 2 minutes pour une connexion internet de 100 Mo/s
Puis-je téléverser des images TVFC pour plusieurs patients simultanément?
Oui. Créez vos patients dans différents onglets sur votre navigateur. Si vous choisissez l’option TVFC pour un patient, l’outil de téléversement TVFC s’ouvrira dans un nouvel onglet.
Que faire si l’outil de téléversement TVFC signale que le téléversement a échoué?
L’outil de téléversement TVFC vous proposera d’effectuer un nouveau téléversement. En cas de deuxième tentative infructueuse, veuillez vous adresser à l’assistance technique et fournir le numéro d’identification du patient (PID).
La visibilité de la racine sera-t-elle affichée sur toutes les étapes, ou le sera-t-elle uniquement à la première et à la dernière étape?
Les racines réelles et un os de référence (un modèle osseux statique segmenté à partir d’une image TVFC) sont visibles tout au long du plan de traitement
Combien d’images TVFC puis-je téléverser pour un patient?
Il est possible de téléverser jusqu’à huit (8) radiographies TVFC pour un patient. Vous ne pourrez cependant utiliser qu’une seule de ces prises d’empreintes par prescription (commande).
J’ai téléversé une mauvaise prise d’empreintes (non valide). Que faire?
Si Align vous informe que la radiographie TVFC que vous avez soumise est erronée (non valide), vous pouvez recourir à l’une des 2 options ci-dessous :
Effectuer un nouveau téléversement TVFC pour le cas
Annuler l’option TVFC pour le cas et poursuivre la configuration sans données TVFC
Puis-je ajouter des images TVFC à une prise d’empreintes Comprehensive existante?
Les images TVFC peuvent être ajoutées à une commande Comprehensive déjà créée si la commande n’a pas encore été soumise. Si la prescription a déjà été soumise, il n’est pas possible d’ajouter des images TVFC. Il est possible de soumettre des commandes d’aligneurs supplémentaires sans images TVFC même lorsque la première commande contenait des images TVFC.
Peut-on passer d’un produit de traitement court (tel que Lite, Moderate) à un produit Comprehensive avec des images TVFC?
Oui
Que se passe-t-il si je passe d’un produit Comprehensive avec des images TVFC à un produit de traitement court (tel que Lite, Moderate)?
Vous pouvez le faire, mais les données TVFC (racines et os) disparaîtront de votre nouveau plan de traitement créé pour un produit de traitement court.
Les valeurs de mouvement des racines indiquées dans le tableau de mouvement dentaire seront-elles mises à jour pour refléter les racines réelles dans les cas avec données TVFC?
Non, le tableau de mouvement dentaire continuera d’afficher les valeurs des racines virtuelles. Cette amélioration est prévue pour une prochaine version.
Quels sont les scanners TVFC compatibles avec la planification du traitement Invisalign?
Nous mettons constamment à jour notre lise de scanners compatibles. Assurez-vous que votre scanner répond aux exigences et soumettez la prise d’empreintes. Si vous avez soumis des images TVFC non valides, nous vous en informerons.
Puis-je soumettre des images TVFC provenant de scanners qui ne sont pas répertoriés comme étant compatibles avec la planification de traitement Invisalign et cela aura-t-il un effet sur ma commande?
Nous essaierons de gérer vos commandes incluant des images issues de scanners TVFC non répertoriés comme compatibles. En cas de problème, nous retirerons les images TVFC de la commande et vous en informerons. Le délai de livraison standard peut être affecté.
Quelle est la procédure de soumission de cas pour les commandes comportant l’option d'intégration TVFC?
Les détails de la procédure de soumission de cas sont décrits dans le module de formation situé sur le site de formation Align – Page d’accueil de l’intégration TVFC
Y aura-t-il une différence dans le délai d’exécution d’un plan de traitement ClinCheck avec l’option TVFC par rapport à un plan sans TVFC?
Différents facteurs influencent le délai de livraison standard, mais le délai d’exécution devrait être similaire.
L’ajout d’images TVFC permet-il d’obtenir une meilleure précision dans les rendus radiculaires?
Le téléversement de plusieurs prises d’empreintes n’augmente pas la précision du modèle.
Les empreintes PVS et les images TVFC peuvent-elles être soumises ensemble pour un cas avec TVFC?
Non. L’intégration TVFC ne peut être prise en charge que pour les cas soumis avec les scanners iTero ou d’autres scannersintra-oraux tiers pris en charge.
Si j’utilise le Plan personnalisé Invisalign ou un autre modèle de préférences, puis-je soumettre une commande avec des images TVFC en utilisant le formulaire de prescription Flex Rx?
Oui
Puis-je exporter un plan de traitement avec intégration TVFC?
Oui, l’option d’exportation de film et d’écran exportera la vue actuellement active dans le logiciel ClinCheck (c’est-à-dire les racines uniquement).
Quelles sont les directives pour soumettre des prises des images TVFC avec des implants de restauration artificiels?
Il n’y a pas de directives particulières.
Le téléversement d’images TVFC est-il nécessaire pour les commandes d’aligneurs supplémentaires?
Si vous choisissez de téléverser des images TVFC pour une commande d’aligneurs supplémentaires, il doit s’agir de nouvelles images. Sachez toutefois qu’il est possible de soumettre des commandes d’aligneurs supplémentaires sans images TVFC, même lorsque la première commande contenait des images TVFC.
Comment se comportera la marge gingivale dans les configurations avec intégration TVFC où le praticien peut également voir la marge de l’os crestal?
La marge gingivale continuera à se comporter comme elle le fait actuellement. Elle suivra la dent.
La grille et la règle permettront-elles de mesurer les racines?
Oui.
Où puis-je obtenir des informations supplémentaires sur la modification des plans de traitement avec intégration TVFC?
Les détails du processus de modification de cas sont décrits dans le module de formation situé sur le site de formation Align – Page d’accueil de l’intégration TVFC
Quels produits, fonctionnalités ou versions de ClinCheck prennent en charge l’intégration TVFC pour le logiciel ClinCheck?
Produits pris en charge :1
Comprehensive Package (adultes et adolescents) - Oui
Phase 2 Comprehensive Package (adolescents)
– OuiCommandes d’aligneurs supplémentaires
– Oui
Logiciel ClinCheck Pro 6.0
– Oui
Fonctionnalité ClinCheck Live Update pour les contrôles 3D
– Oui
Plan personnalisé Invisalign, cas GLR ou MLS
– Oui
Avancée mandibulaire
– Non
Visualisation intégrée au visage
– Non
1- Tous les autres produits Invisalign autres que ceux mentionnés
ci-dessus ne sont pas pris en charge.
Le Plan personnalisé Invisalign et la fonctionnalité ClinCheck Live Update pour les contrôles 3D seront-ils compatibles avec l’intégration TVFC?
Oui, la fonctionnalité ClinCheck Live Update et le Plan personnalisé Invisalign, GLR ou MLS ou d’autres modèles de préférences sont pris en charge.
Quels sont les versions de navigateur et les appareils pris en charge?
La fonction d’intégration TVFC fait partie du logiciel ClinCheck Pro et utilise les mêmes navigateurs et appareils. Reportez-vous à la version la plus récente de notre manuel d’utilisation du logiciel ClinCheck, disponible sur la page de formation Invisalign (recherchez « manuel d’utilisation »)



