CBCT integration in ClinCheck Pro software
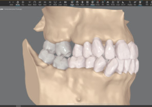
Auto-generates a 3D model with roots, crown, and bone for more-informed treatment planning.




See patients' roots, crowns, and bone in one auto-generated 3D model with new CBCT integration.
Maximizes the efficiency of powerful ClinCheck tools like 3D Controls.
Shows you real root renderings and bone visualizations based on actual scan data.
Simulates root movement along with tooth movement.
Helps you leverage your expertise across a broad range of malocclusions.
Informs your Invisalign® treatment planning.




More- informed treatment planning for a broad range of malocclusions.
Surgical
Restorative
Expansion/Extraction
Teen case with impacted or unerupted teeth


Enable CBCT functionality in ClinCheck Pro in 4 easy steps to work in one integrated platform.


Step 1
When submitting a case, on the “Scan’s & Impressions” tab check “CBCT” in the CBCT Scan section.


Step 2
Upload your CBCT files/folders.


Step 3
Select Adult or Teen patient type and comprehensive package.


Step 4
Start your treatment planning process in ClinCheck Pro leveraging the now enabled “Roots” button in the tool bar.


Step 1
When submitting a case, on the “Scan’s & Impressions” tab check “CBCT” in the CBCT Scan section.


Step 2
Upload your CBCT files/folders.


Step 3
Select Adult or Teen patient type and comprehensive package.


Step 4
Start your treatment planning process in ClinCheck Pro leveraging the now enabled “Roots” button in the tool bar.
Three new views in one integrated platform to enhance treatment planning.


Roots only


Roots with semitransparent bone


Roots and bone


Roots only


Roots with semitransparent bone


Roots and bone
Frequently asked questions
How I should interpret bone shape/fenestrations/protrusions visualization in ClinCheck software?
Detailed instructions are located on the Invisalign Doctor Site Education page in document A001623 Rev A, CBCT Protocol Information.
What are requirements of a valid or acceptable Cone Beam CT (CBCT) scan for Invisalign® treatment planning?
Below are the requirements, recommendations, and an important note:
Requirements
The CBCT scan shall be provided in the DICOM format
Either as a single large (usually much bigger than 100 MB) .dcm file containing all layers of the CBCT scan.
Or as a list of small (usually about several MB) .dcm files – each file contains a single layer of the CBCT scan. Typical ortho CBCT scan contains several hundred of layers.
Align accepts “ortho” CBCT scans sizes equal to Size A (red), B (green), or C (purple) as illustrated in Figure 1. Note: Size A and B scans will be automatically truncated to Size C in the final ClinCheck treatment plan. Scans of Size D (yellow) and E (blue) are not supported.
CBCT scan area shall fully cover all teeth with their roots, as well as unerupted/partially erupted/impacted teeth with their roots (if any).
Recommendations
Recommended resolution for CBCT scan is no less than 0.3 mm (any dimension). Align will accept CBCT scans with lower resolution, but please be aware that the precision of resulted 3D model of roots and bone will decrease accordingly.
Align recommends using CBCT machine manufacturer-recommended settings for taking ortho CBCT scans intended for Invisalign treatment planning
Important Note:
CBCT case setup SLA (turnaround time from the moment of the case submission till the moment treatment plan in ClinCheck is ready for doctor’s review) is the same as for Invisalign® Comprehensive case w/o CBCT. Please be aware that this SLA only applicable for CBCT scans taken with a scanner from officially supported CBCT scanners list (see below). If you upload a CBCT scan from the CBCT scanner which is not in the official support list, Align will attempt to process it, but we cannot guarantee any turnaround time for such case.
What exposure parameters/radiation levels I should apply at CBCT scanner?
Please refer to CBCT scanner user manual for recommended settings (field of view (FOV), tube voltage (kVp), tube current (mA) exposure time, rotation arc). If the user manual does not contain required instructions, please contact your CBCT scanner vendor for recommendations.
Should I take CBCT scans with closed bite or with slightly opened bite?
Slightly opened bite is preferable, though you can proceed with closed bite scans as well.
What if my CBCT scanner failed to export to a valid (acceptable) DICOM?
Please refer to CBCT scanner user manual on how to export CBCT scan into DICOM format. If the user manual does not contain required instructions, please contact your CBCT scanner vendor for recommendations.
What kind of CBCT scan (DICOM) is considered invalid for Invisalign treatment planning?
The following scenarios result in an invalid CBCT scan (DICOM)
Incomplete CBCT scan – that has missing layers
CBCT scan from another patient
CBCT scan with roots position that differs from crowns’ position in the intraoral scan submitted alongside with CBCT scan for the patient (e.g. the CBCT scan taken at another stage of ortho treatment comparing to intraoral scan)
Broken CBCT scan – that has one or several DICOM files missing or damaged
Truncated CBCT scan – that does not cover all fully erupted teeth and roots, as well as unerupted/partially erupted/impacted teeth and roots (if any).
Low-quality CBCT scans with too low contrast, over exposed and/or image blur (due to patient movement during scanning). See example (Figure 3)
How long it would take to upload a CBCT scan?
CBCT scan uploading should take about 5 min for internet connection 30 Mbit/s and no more than 2 min for internet connection 100 Mbit/s
Can I upload CBCT scans for multiple patients simultaneously?
Yes. Start patients in different browser tabs. For each patient a separate CBCT uploader tab will open as soon as you choose the CBCT option for that patient.
What if CBCT uploader reports upload has failed?
CBCT uploader will offer you to re-upload the scan. In case of second unsuccessful attempt please address to Technical support and provide the case’s Patient ID (PID).
Will root visibility be shown along the various staging, or is it only at the initial stage and the final stage?
Real roots and a reference bone (a static bone model as it segmented from CBCT scan) are visible through entire treatment plan
How many CBCT scans can be uploaded for the patient?
It is possible to upload up to eight (8) CBCT scans for one patient. In every prescription (order) only one from these scans can be used.
What if I uploaded wrong (invalid) CBCT scan?
If Align informs you that your submitted CBCT scan is wrong (invalid), you can refer to the below 2 options,
Re-upload the CBCT scan for the case
Cancel CBCT option for the case and proceed with the setup without CBCT data
Can I add a CBCT scan to existing Comprehensive order?
A CBCT scan can be added to a previously created Comprehensive order if the order has not been submitted yet. If the Rx has already been submitted, then a CBCT scan cannot be added. Additional aligner orders can be submitted without a CBCT scan even if the primary order was submitted with a CBCT scan.
Can a switch from a limited stage product (such as Lite, Moderate) to a Comprehensive with CBCT?
Yes
What happened if I switch from a Comprehensive with CBCT to limited stage product (such as Lite, Moderate)?
You can do so, but CBCT data (roots and bone) will disappear from your new Treatment Plan created for a limited-stage product.
Will the root movement values in the Tooth Movement Table be updated to reflect the real roots on cases with CBCT data?
No, the TMT will still display the values for the virtual roots. This improvement is planned for a future release.
Which CBCT scanners are compatible with Invisalign treatment planning?
Supported scanners are constantly being added. Ensure your scanner meets the requirements and submit scan. You will be notified if an unacceptable scan is submitted.
Can I submit CBCT scans from scanners not listed as compatible with Invisalign treatment planning and will that impact my order?
Orders with scans from CBCT scanners not listed as compatible will be attempted. If any issues arise the customer will be notified and the CBCT scan removed from the order. Standard delivery time may be impacted.
What is the case submission process for orders with the CBCT integration option?
Details of the case submission process is outlined in the training module located at the Align Education site - CBCT Integration landing page
Will there be a difference in the turnaround time for a ClinCheck treatment plan with the CBCT option compared to one without?
Various factors affect the standard delivery time, but the turnaround time is expected to be similar.
Do additional uploaded CBCT scans lead to better accuracy in root renderings?
Uploading multiple scans does not increase the accuracy of the model.
Can PVS impressions and CBCT scans be submitted together for a case with CBCT?
No. CBCT integration can only be supported for cases submitted with the iTero scanners or other supported third-party intraoral scanners.
If I am using Invisalign Personalized Plan or other preferences template, can I submit an order with a CBCT scan using the Flex Rx?
Yes
Can I export a CBCT integrated treatment plan?
Yes, the movie and screen export option will export the currently active view in ClinCheck software (i.e. roots only).
What are the guidelines for submitting CBCT scans with artificial restorative implants?
There are no special guidelines.
Is a new CBCT scan required for Additional Aligner orders?
If you choose to upload a CBCT scan for the Additional Aligner order, it must be a new scan, however, Additional Aligner orders can be submitted without a CBCT scan even if the primary order was submitted with a CBCT scan.
How will the gingival margin behave in setups with CBCT integration where the doctor can also see the crestal bone margin?
The gingival margin will continue to behave as it currently does. It will follow the tooth.
Will the grid and ruler feature support root measurement?
Yes.
Where can I get additional information about modifying treatment plans with CBCT integration?
Details on the case modification process is outlined in the training module located at the Align Education site - CBCT Integration landing page
What products, features or ClinCheck versions are supported with CBCT Integration for ClinCheck software?
Supported Products:1
Comprehensive package (Adult and Teen) - Yes
Phase 2 Comprehensive package (Teen) - Yes
Additional Aligner Orders - Yes
ClinCheck Pro 6.0 Software - Yes
ClinCheck Live Update for 3D controls - Yes
Invisalign Personalized Plan, GLR or MLS cases - Yes
Mandibular Advancement - No
In-Face Visualization - No
1- All other Invisalign products other than those noted
above are not supported.
Will Invisalign Personalized Plan and ClinCheck Live Update for 3D controls be compatible with CBCT integration?
Yes, ClinCheck Live Update and Invisalign Personalized Plan, GLR or MLS or other preferences templates are supported.
What are the supported browser versions and devices?
The CBCT integration feature is part of ClinCheck Pro software and utilized the same browsers and devices. Refer to the most recent ClinCheck Software User Guide for located on the Invisalign Education page (search “user guide”)



